- 
									
- Tổng tiền thanh toán:
 
 
Hội chứng liệt rung Parkinson thứ phát và không điển hình
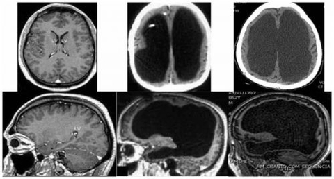
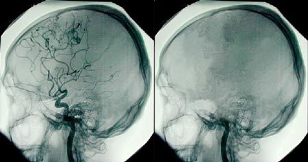
Tai biến mạch máu não là một trong những căn bệnh phổ biến gây ảnh hưởng lớn đến sức khỏe mà rất nhiều người gặp phải đặc biệt là người lớn tuổi. V...
VH Medipharm
Tai biến mạch máu não là một trong những căn bệnh phổ biến gây ảnh hưởng lớn đến sức khỏe mà rất nhiều người gặp phải đặc biệt là người lớn tuổi. V...
Tai biến mạch máu não là một trong những căn bệnh phổ biến gây ảnh hưởng lớn đến sức khỏe mà rất nhiều người gặp phải đặc biệt là người lớn tuổi. V...
Tai biến mạch máu não là một trong những căn bệnh phổ biến gây ảnh hưởng lớn đến sức khỏe mà rất nhiều người gặp phải đặc biệt là người lớn tuổi. V...
Tai biến mạch máu não là một trong những căn bệnh phổ biến gây ảnh hưởng lớn đến sức khỏe mà rất nhiều người gặp phải đặc biệt là người lớn tuổi....
Tai biến mạch máu não là một trong những căn bệnh phổ biến gây ảnh hưởng lớn đến sức khỏe mà rất nhiều người gặp phải đặc biệt là người lớn tuổi....
Tai biến mạch máu não là một trong những căn bệnh phổ biến gây ảnh hưởng lớn đến sức khỏe mà rất nhiều người gặp phải đặc biệt là người lớn tuổi. V...
Tai biến mạch máu não là một trong những căn bệnh phổ biến gây ảnh hưởng lớn đến sức khỏe mà rất nhiều người gặp phải đặc biệt là người lớn tuổi. V...
Tai biến mạch máu não là một trong những căn bệnh phổ biến gây ảnh hưởng lớn đến sức khỏe mà rất nhiều người gặp phải đặc biệt là người lớn tuổi. V...
Tai biến mạch máu não là một trong những căn bệnh phổ biến gây ảnh hưởng lớn đến sức khỏe mà rất nhiều người gặp phải đặc biệt là người lớn tuổi. V...
Tai biến mạch máu não là một trong những căn bệnh phổ biến gây ảnh hưởng lớn đến sức khỏe mà rất nhiều người gặp phải đặc biệt là người lớn tuổi. V...
Tai biến mạch máu não là một trong những căn bệnh phổ biến gây ảnh hưởng lớn đến sức khỏe mà rất nhiều người gặp phải đặc biệt là người lớn tuổi. V...
Tai biến mạch máu não là một trong những căn bệnh phổ biến gây ảnh hưởng lớn đến sức khỏe mà rất nhiều người gặp phải đặc biệt là người lớn tuổi. V...
	0866.106.088