-
- Tổng tiền thanh toán:
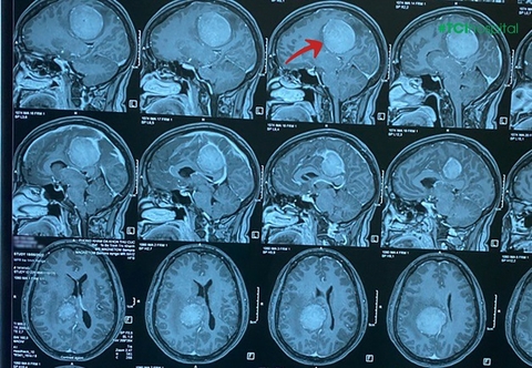
Căn bệnh gây tổn thương ở não, di chứng thần kinh, dễ mắc vào mùa hè
Tai biến mạch máu não là một trong những căn bệnh phổ biến gây ảnh hưởng lớn đến sức khỏe mà rất nhiều người gặp phải đặc biệt là người lớn tuổi. V...
VH Medipharm
Tai biến mạch máu não là một trong những căn bệnh phổ biến gây ảnh hưởng lớn đến sức khỏe mà rất nhiều người gặp phải đặc biệt là người lớn tuổi. V...
Tai biến mạch máu não là một trong những căn bệnh phổ biến gây ảnh hưởng lớn đến sức khỏe mà rất nhiều người gặp phải đặc biệt là người lớn tuổi. V...
Tai biến mạch máu não là một trong những căn bệnh phổ biến gây ảnh hưởng lớn đến sức khỏe mà rất nhiều người gặp phải đặc biệt là người lớn tuổi. V...
Tai biến mạch máu não là một trong những căn bệnh phổ biến gây ảnh hưởng lớn đến sức khỏe mà rất nhiều người gặp phải đặc biệt là người lớn tuổi. V...
Tai biến mạch máu não là một trong những căn bệnh phổ biến gây ảnh hưởng lớn đến sức khỏe mà rất nhiều người gặp phải đặc biệt là người lớn tuổi. V...
Tai biến mạch máu não là một trong những căn bệnh phổ biến gây ảnh hưởng lớn đến sức khỏe mà rất nhiều người gặp phải đặc biệt là người lớn tuổi. V...
Tai biến mạch máu não là một trong những căn bệnh phổ biến gây ảnh hưởng lớn đến sức khỏe mà rất nhiều người gặp phải đặc biệt là người lớn tuổi. V...
Tai biến mạch máu não là một trong những căn bệnh phổ biến gây ảnh hưởng lớn đến sức khỏe mà rất nhiều người gặp phải đặc biệt là người lớn tuổi. V...
Tai biến mạch máu não là một trong những căn bệnh phổ biến gây ảnh hưởng lớn đến sức khỏe mà rất nhiều người gặp phải đặc biệt là người lớn tuổi. V...
Tai biến mạch máu não là một trong những căn bệnh phổ biến gây ảnh hưởng lớn đến sức khỏe mà rất nhiều người gặp phải đặc biệt là người lớn tuổi. V...
Tai biến mạch máu não là một trong những căn bệnh phổ biến gây ảnh hưởng lớn đến sức khỏe mà rất nhiều người gặp phải đặc biệt là người lớn tuổi. V...
Tai biến mạch máu não là một trong những căn bệnh phổ biến gây ảnh hưởng lớn đến sức khỏe mà rất nhiều người gặp phải đặc biệt là người lớn tuổi. V...
0866.106.088