-
- Tổng tiền thanh toán:

Chết não
Tác giả: Bích Ngọc Ngày đăng: 29/06/2024
Tai biến mạch máu não là một trong những căn bệnh phổ biến gây ảnh hưởng lớn đến sức khỏe mà rất nhiều người gặp phải đặc biệt là người lớn tuổi. Vì vậy để có cách phòng ngừa căn bệnh này hiệu quả chúng ta cần phải tìm hiểu, nắm rõ về các giai đoạn của bệnh. Bài viết dưới đây là những thông tin cần thiết Chết não Mời các bạn cùng theo dõi.
1. Chẩn đoán chết não

-
Xác định theo các tiêu chuẩn lâm sàng
-
Trắc nghiệm ngưng thở
-
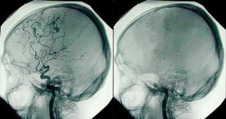
Đôi khi dùng điện não đồ (EEG), chẩn đoán hình ảnh mạch não, hoặc cả hai
Để một bác sĩ tuyên bố chết não, phải biết nguyên nhân cấu trúc hoặc chuyển hóa gây tổn thương não, và phải loại trừ việc sử dụng các thuốc gây mê hoặc gây tê liệt, đặc biệt là trường hợp tự dùng thuốc, phải được loại trừ.
Nếu có hạ thân nhiệt, nhiệt độ trung tâm < 35°C phải được tăng từ từ đến> 36°C, và nếu nghi ngờ tình trạng động kinh, nên làm điện não đồ. Ở người lớn, sau khi loại trừ tất cả các bệnh nội khoa phức tạp và khám toàn diện thần kinh với các xét nghiệm cần thiết đã được thực hiện, có thể xác nhận tình trạng chết não. Một số tiểu bang khuyên các thầy thuốc lâm sàng phải thực hiện hai lần thăm khám riêng biệt cách nhau ít nhất 48 giờ ở trẻ em; phương pháp này không được khuyến cáo hoặc yêu cầu đối với người lớn
2. Thăm khám bao gồm
-
Đánh giá phản ứng của đồng tử
-
Đánh giá các phản xạ mắt não, tiền đình mắt, và giác mạc
-
Trắc nghiệm ngưng thở
Đôi khi EEG hoặc các xét nghiệm đánh giá tưới máu não được sử dụng để khẳng định sự vắng mặt của hoạt động não hoặc dòng máu não. Nhờ đó, cung cấp thêm bằng chứng cho các thành viên trong gia đình, nhưng các xét nghiệm này không phải lúc nào cũng được yêu cầu. Chúng được chỉ định khi không dung nạp được trắc nghiệm ngưng thở về mặt huyết động và mong muốn chỉ khám thần kinh một lần (ví dụ, nhằm đẩy nhanh việc lấy phủ tạng để cấy ghép
3. Tiên lượng về chết não
Chẩn đoán chết não tương đương với cái chết của người đó. Không điều trị thêm có thể ngăn ngừa tử vong.
Sau khi chết não được xác nhận, cần dừng tất cả các điều trị hỗ trợ tim và hô hấp. Ngừng hỗ trợ thở máy gây ra rối loạn nhịp giai đoạn cuối cùng. Các phản xạ vận động tủy sống có thể xảy ra trong giai đoạn ngưng thở ; bao gồm gập lưng, cổ quay, co cứng chân, và chi trên gập lại (cái gọi là dấu hiệu Lazarus). Các thành viên trong gia đình muốn có mặt khi ngừng máy thở cần phải được thông báo trước về các động tác đó.

Chi tiết xem thêm tại: >>> BENCEDA - Tăng cường chức năng não - Hộp 60 viên
Công dụng của BENCEDA:
+ Giúp cho bộ não hoạt động hiệu quả nhanh chóng, học nhanh hơn và củng cố bộ nhớ hiệu quả hơn, giảm căng thẳng, áp lực trong công việc.
+ Hỗ trợ hoạt huyết, tăng tuần hoàn não, cải thiện chức năng của não.
+ Hỗ trợ giảm các triệu chứng do thiểu năng tuần hoàn não
+ Hỗ trợ phục hồi sau tai biến mạch máu não.
+ Hỗ trợ điều trị rối loạn tiền đình
+ Phòng ngừa các chứng rối loạn trí nhớ bao gồm Alzheimer.
Đối tượng sử dụng:
+ Người bị thiểu năng tuần hoàn não có các triệu chứng đau đầu, chóng mặt, hoa mắt.
+ Người bị suy giảm trí nhớ, rối loạn tiền đình, tê bì chân tay.
+ Người sau tai biến mạch máu não do tắc mạch.
+ Người bị bệnh rối loạn trí nhớ Alzheimer.
Trên đây là toàn bộ thông tin hữu ích về Chết não Hy vọng rằng bài viết sẽ giúp được các bạn trong việc phát hiện và phòng ngừa căn bệnh nguy hiểm này
Tuyên bố miễn trừ trách nhiệm